Skip to main content
Smile Designs
A Great Dentist
Request an Appointment
Like us on Facebook
Follow us on Twitter
Leave a Google Review
(516) 935-5222
General and Aesthetic Dentistry
26 Holyoke Road, Hicksville, New York 11801
Home
About
Our Team
Technology
Office Pictures
Services
View All
Cosmetic Dentistry
Teeth Whitening
Porcelain Veneers
Invisalign
Crowns and Bridges
Dental Implants
General Dentistry
Root Canal Treatment
Extractions
Bone Grafts
Smile Gallery
Testimonials
Forms
FAQs
View All
Invisalign
General Dentistry
Blog
Financial
Contact
Smile Designs
>
Smile Gallery
>
In-Office Teeth Whitening
In-Office Teeth Whitening
Return to Smile Gallery
Previous
Next
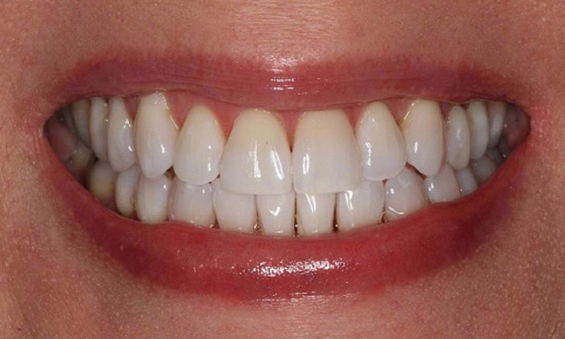
This in-office teeth whitening procedure produces immediate results in one visit.
Related Services:
Teeth Whitening
Place mouse over picture to pause
Before
After
After
Improve your smile today – call to schedule a consultation!
Claim Now!
OK!
×
×
Contact Us Today
Give Us A Call
Smile Designs of Long Island -
(516) 935-5222
Send Us an Email
Request an Appointment
Contact Us
Ready to Schedule an Appointment?
Book Online
Have Questions? Contact Us:
Required Field
Your Name:
Phone:
Email:
Are you a new patient?:
Are you a?
New Patient
Current Patient
How would you like us to contact you?
Please choose
Email
Call
How did you hear about us?
Please choose
I'm an existing patient
Google/Bing
Mailer
Word of mouth
Social media
Other
Who Referred You?:
Appointment Preferences
Monday
Tuesday
Wednesday
Thursday
Friday
Saturday
Your Message:
This site is protected by reCAPTCHA and the Google
Privacy Policy
and
Terms of Service
apply.
Sending...
×
This Patient's Experience
Loading Testimonial...
Loading Case...