Smile Designs

Smile Gallery

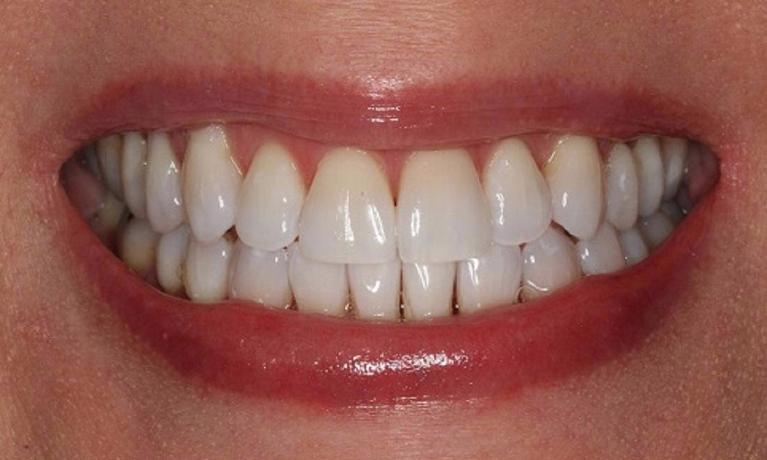
Not everyone is born with a bright, white, straight smile.

Feeling self-conscious about your smile can negatively impact your entire life. So why live with a smile you don’t want to show off?

At Smile Designs of Long Island, we use the artistry of cosmetic dentistry to make lackluster smiles spectacular. See for yourself and take a look at the pictures in our smile gallery.

Will yours be the next smile that is transformed?

Getting an appointment is fast and easy!
Implant Dentistry Made Easy

I’m so happy I discovered Dr. Davis and Smile Designs.Dr. Davis laid out the procedure, gave me a very thorough and accurate estimate of cost and took an amazing amount of care every step of the way. I was missing teeth and the thought of implants scared me, but the doctor and the entire staff made it seem effortless. Very little discomfort and they’re in, they’re beautiful and I have my old smile back! The level of skill and professionalism every step of the way was truly inspiring.
Highly recommend Smile Designs!
-Joe D.

If you have difficulty using our website, please email us or call us at (516) 935-5222
View the ADA Accessibility Statement
Privacy Policy